Cắt phanh lưỡi
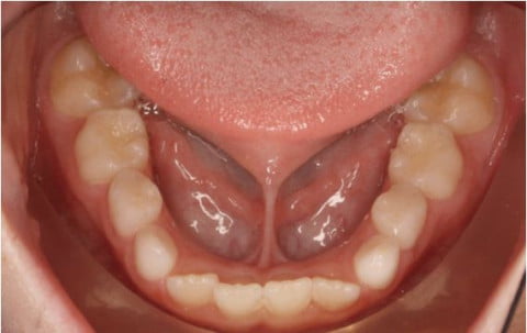
Dính phanh lưỡi ( thắng lưỡi ) là hiện tượng lớp màng mỏng nằm phía dưới lưỡi bị ngắn, dày và căng khiến chuyển động của lưỡi bị hạn chế

1.Tại sao phải cắt phanh lưỡi ?
Dính phanh lưỡi hay thắng lưỡi ngắn thường gây ra cho trẻ những khó khăn trong ăn uống như : khó bú, khó nuốt. Làm hạn chế chuyển động của lưỡi hơn bình thường. Đôi khi làm trẻ khó phát âm một số âm tiết.
Làm mất thẩm mỹ của răng vì khi dính thắng lưỡi. Răng cửa hàm dưới thường bị nghiêng hoặc tạo ra khe thưa giữa 2 răng cửa.
2. Cắt phanh lưỡi bằng phương pháp nào ?
Thủ thuật cắt phanh lưỡi khá đơn giản, không tốn nhiều thời gian. Đặc không gây nguy hiểm đến sức khỏe của trẻ.
Với công nghệ cắt laser thì cha mẹ có thể hoàn toàn yên tâm bởi ưu điểm không đau, không chảy máu. Chỉ trong vòng 10-15′ là tiến hành xong. Sau khi phẫu thuật, trẻ sẽ được về nhà và chăm sóc tại nhà. Ngoài ra, trẻ có thể ăn uống bình thường mà không hề đau đớn hay kiêng gì.

